Screenshot 2020-07-07 at 16.12.59.png
 

White Fillings in Bishopsworth, Bristol

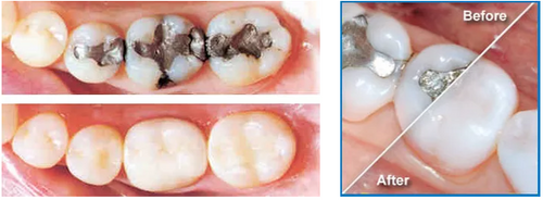
If the decay is not too serious, our cosmetic dentist will remove all the decay and restore the tooth with a white (tooth coloured) filling. Our dentists can safely replace silver amalgam fillings with white tooth coloured fillings.

​Dental decay happens when the enamel and dentine of a tooth become softened by acid attack, producing a cavity (hole).

Capture_2-p-500.png

Not sure which treatment is right for you?

Why not book a consultation with the our dental team. We can discuss your goals and advise you on which of our fantastic treatments will best meet your needs and be most clinically suitable.

Book Online